Natural-Looking Veneers in Atlanta
Ultra-Natural Smiles, Designed to Protect What Makes You Unique
International Dental Care in Sandy Springs, GA — Minutes from Atlanta
Smiles by Dr. Mario Montoya Atlanta is a dental clinic specializing in ultra-natural veneers and long-term oral health. Located in Sandy Springs, Georgia, our U.S.-certified dental team combines clinical expertise, preventative care, and an in-house digital lab to create naturally beautiful, healthy smiles.

Natural Results Begin with Healthy Teeth
Cosmetic dentistry services preserving your oral health
At Smiles by Dr. Mario Montoya Atlanta, we specialize in three signature dental procedures. Each treatment begins with a health-first evaluation of your natural teeth, bite, and facial harmony to create beautiful, balanced results that support long-term oral health.
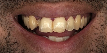
Before & After | Dr. Mario Montoya Atlanta
Real Smiles, Naturally Beautiful Results
Our smile transformations focus on achieving results that look natural, balanced, and healthy. We enhance your smile without compromising your identity—because the best dentistry is the one that looks like it was always yours.
Patient stories
- +3.000 Atlanta cases
Patients reflect the high-quality care we provide in a safe, friendly, and professional environment. They choose Smiles by Dr. Mario Montoya Atlanta for a refined approach to dentistry—where aesthetics meet health, and results look naturally beautiful and authentic.
The Dr. Mario Montoya Vision, Delivered by U.S.-Licensed Dentists
Every smile transformation at Smiles by Dr. Mario Montoya Atlanta is inspired by the Dr. Mario Montoya brand and performed by a U.S.-licensed dental team, combining cosmetic expertise, digital planning, and a health-first approach to create natural-looking, long-lasting results.
- 20+ yrs experience
- 5,000+ documented cases
- 3D digital workflow
- In-house high-tech laboratory



Visit Our Dental Clinic - Smiles by Dr. Mario Montoya Atlanta
A Modern Dental Clinic in Sandy Springs Designed for Comfort, Beauty & Confidence
Inside our clinic, you could experience premium dental care in a modern, technology-driven clinic in Sandy Springs, serving the greater Atlanta area. At Smiles by Dr. Mario Montoya, patients enjoy advanced dentistry, elegant treatment rooms with lake views, and a calm, professional atmosphere designed for comfort and confidence.
Dental Education
Learn how to care for your smile with expert guidance. At Smiles by Mario Montoya Atlanta, we believe that an informed patient makes better decisions about their oral health. This section is designed to provide clear, reliable, and professional insights on treatments, preventive care, and smile aesthetics.

Frequently Asked Questions About Natural Veneers & Smile Makeovers
What makes natural-looking veneers different?
Natural-looking veneers are designed to enhance your smile without making it look artificial or overdone. At Smiles by Dr. Mario Montoya Atlanta, we consider your facial features, tooth proportions, bite, gum line, and long-term oral health to create a smile that looks balanced, healthy, and authentically yours.
How long do porcelain veneers last?
Porcelain veneers can last for many years with proper care, good oral hygiene, and regular dental checkups. Their longevity depends on factors such as your bite, daily habits, oral health, and maintenance routine. During your evaluation, our team will guide you on how to protect your veneers and keep your smile looking natural over time.
Do you offer smile makeovers in Atlanta and Sandy Springs?
Yes. Smiles by Dr. Mario Montoya Atlanta offers customized smile makeover treatments for patients in Sandy Springs, Atlanta, and surrounding areas. Depending on your needs, your treatment plan may include ultra-natural smile design, porcelain veneers, full-mouth rehabilitation, or other cosmetic and restorative dental solutions.
Do you accept dental insurance?
Yes. We accept most dental insurance. We work with many major insurance providers and help you understand your benefits before treatment. Not sure? We’ll help verify your coverage. We invite you to complete the form and our team can help you review your benefits before treatment, so you understand what may be covered and what payment options are available for your personalized dental plan.
What financial options are available?
We offer several payment and financing options to help make your treatment easier to plan. These may include CareCredit®, Cherry Financing®, Proceed Finance®, in-house payment plans, and cash payments. Our team will help you review the available options and choose the one that best fits your treatment plan. Ask About Financing after completing the form.
Is the treatment painful?
Most patients feel comfortable during cosmetic dental procedures. When needed, local anesthesia may be used to help make the experience more comfortable. Before starting any treatment, our team will explain the process, answer your questions, and make sure you feel informed and supported.
Is preventive dentistry important before veneers?
Yes. Preventive dentistry is at the heart of our smile design process. Before to star the proceducre your choose, our team carefully evaluates your gums, natural teeth, bite, enamel, and overall oral health to make sure your smile has a strong and healthy foundation. By addressing concerns early and protecting your long-term dental health, we can create veneers that look natural, feel comfortable, and are designed to last.
Why choose Smiles by Dr. Mario Montoya Atlanta?
Smiles by Dr. Mario Montoya Atlanta combines premium cosmetic dentistry, a U.S.-licensed dental team, digital planning, and an in-house dental lab to create natural-looking, healthy smiles. Located in Sandy Springs, Georgia, our clinic focuses on personalized care, clinical precision, and results designed to look elegant and authentic.
You can schedule a consultation directly through our website form, by phone, or through our available contact channels. Our team will guide you through the first steps, answer your initial questions, and help you understand which treatment options may be right for your smile goals.

We’ll help you explore the option that best fits your smile goals.

We work with major providers and help you maximize your benefits. Not sure? We’ll check for you.
